蓟州区的74岁周先生,最近备受煎熬:一活动就胸闷气短,夜里常常会被憋醒,根本无法安稳入睡。他慕名来到泰达国际心血管病医院(简称泰心医院),检查结果显示,他的心脏严重衰退,射血分数不足正常人的一半。
更棘手的是,周先生不仅有30年高血压、3年糖尿病史,长期的基础病让他的血管条件变得极差。冠脉造影结果更让人揪心:心脏的三根主要血管(前降支、回旋支、右冠状动脉)全部严重狭窄,最关键的生命线%,随时可能因急性缺血引发心肌梗死甚至心脏骤停。这种三支病变叠加心功能极差的情况,属于典型的复杂、高危病变。患者合并症多,传统外科搭桥手术风险极高,常规介入手术也极易因血流波动引发心脏骤停等恶性事件,治疗一度陷入两难。

在面对困境,医院多学科团队反复评估病情,最终决定为周先生几近罢工的心脏,先装一个“临时马达”,给心脏减负,再实施介入治疗完成血运重建。
这个“临时马达”叫做介入式左心室辅助系统。它就像一个微型水泵,在心脏危重症手术期间承担生命守护者的角色。医生通过患者大腿根部的股动脉,将这个装置精准送入左心室。启动后,它可以发挥三大核心作用:
※临时顶班:在手术的关键时刻,临时接管心脏的泵血工作,把心脏内的血液抽出并泵向全身,保证了大脑、肾脏等重要器官的供血。
※为医生抢时间:在它提供的循环稳定窗口期内,医生可以从容地处理复杂、高危的血管病变。
在手术当天,由内六科主任王永德带队,一场特殊的支架植入术在泰心医院的导管室展开。

在介入式左心室辅助系统的支持下,在既往手术过程中可能造成血压骤降、心脏停跳的高危病变部位进行球囊扩张、植入支架的危险阶段,周先生的血压和生命体征也始终平稳。整个循环系统如同行驶在风平浪静的航道上。
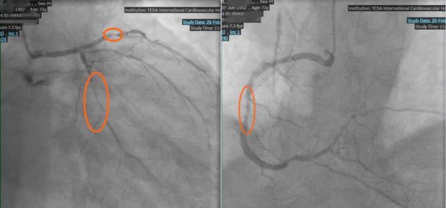
王永德主任团队利用宝贵的窗口期,凭借精湛技术,分别对堵塞严重的左前降支、左回旋支、右冠状动脉的多处严重狭窄病变部位进行球囊扩张和支架植入。
术后造影显示,原本几乎堵死的血管被成功打通,血流恢复通畅。周先生胸闷、憋气、夜间憋醒的症状彻底消失,精神状态也明显好转。
王永德主任介绍,对于周先生这种心功能极差、血管病变又极其复杂的患者,传统介入手术的术中风险极高,医生通常不敢尝试。介入式左心室辅助系统的应用,为处理这类高危复杂病变增添了一件神器,让医生能在降低手术风险的前提条件下,挽救更多患者的生命。
泰心医院首次应用这项前沿技术,标志着医院在处理极高危复杂冠脉病变的救治能力上,迈上了新的台阶。未来,这项技术将为更多此前被认为是手术禁区的重症心脏病患者,带去新的希望。